Smile Gallery: Cosmetic Dentistry
At Markham Street Dental, we love helping patients achieve their smile and oral health goals. See some of the smile transformations made possible by Dr Nyepetsi and his dental team.


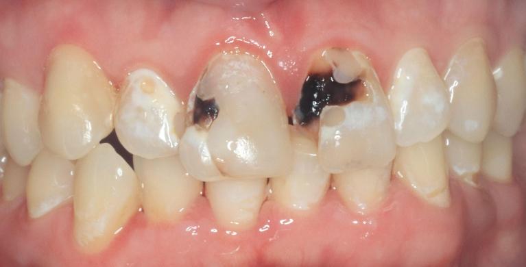
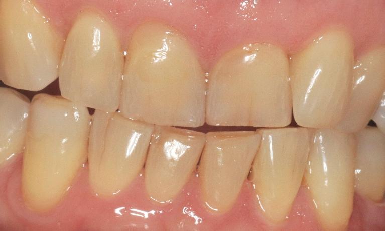
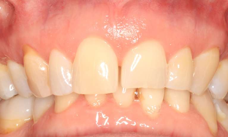
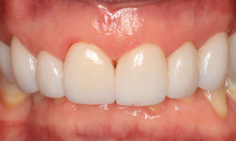
Our patient attended our dental clinic with sensitive teeth due to decay and failed white fillings. She desired to have better-looking front teeth with improved colour.
After thorough consultation, investigations and discussion of our treatment options, she opted for Take-home whitening and porcelain veneers in Armidale. Her treatment included a professional clean, removal of decay, take-home whitening and finally construction of 4 veneers. The dental treatment time took about 2 months.


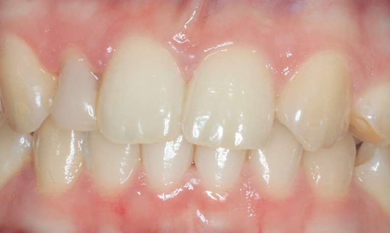
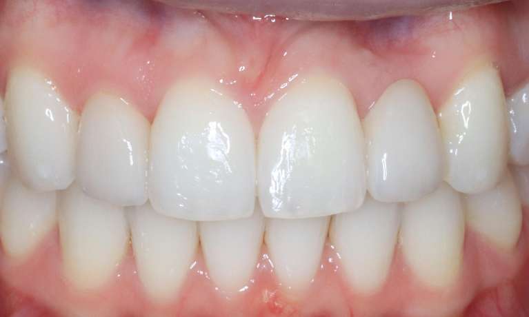
This dental patient arrived at our dental clinic unhappy with their smile. This patient wanted to whiten and enhance the colour of their teeth in Armidale, NSW. Their treatment included the making of whitening trays and issuing bleaching gels. Our patient wore the whitening trays once a day for 30 minutes for a week. Teeth whitening in Armidale can be done for longer than 1 week if the desire is to have whiter and brighter teeth. Take-home whitening allows one to do touch up treatments if needed.


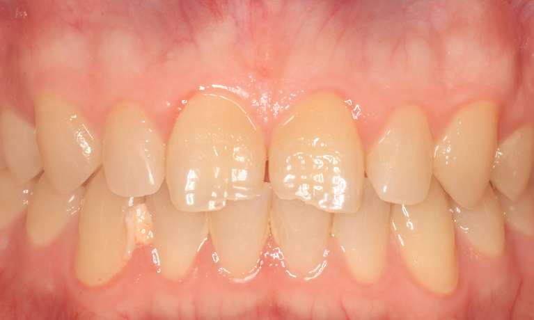
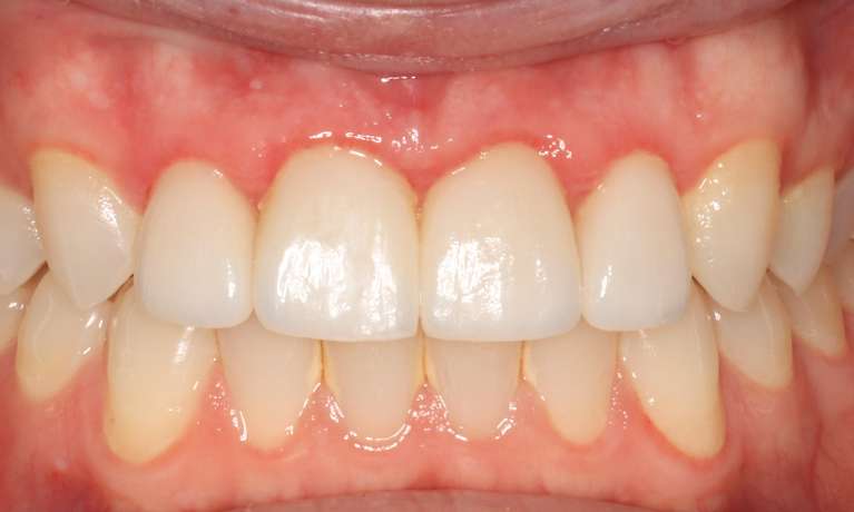
This patient presented with chipping, wearing, and yellowish discolouration of the teeth. Cosmetic enhancement was achieved through a combination of teeth whitening and ceramic veneers, resulting in a brighter smile.


This patient presented with uneven upper front teeth, gaps, and yellowish discolouration. Cosmetic improvement was achieved using take-home teeth whitening and ceramic veneers, resulting in a more balanced, brighter, and aesthetically pleasing smile.


The patient presented with a missing upper left lateral incisor, a peg-shaped lateral incisor, and an over-retained baby canine. The goal was cosmetic improvement which was achieved by extracting the baby canine and using braces to move the adult canine into its correct position, while creating space for the missing lateral incisor. Once orthodontic treatment was completed, tooth colour was brightened with teeth whitening. The peg lateral incisor was reshaped to look like a normal tooth, and the missing tooth was replaced with a bonded bridge.


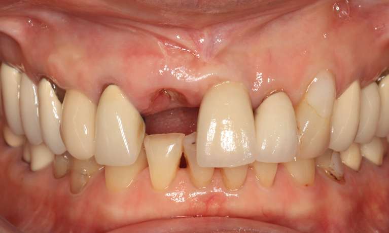
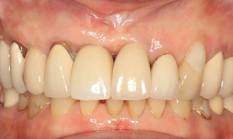
The patient presented with a fractured front tooth that had undergone failed root canal therapy and crown restoration. The damaged root was extracted, and a dental implant was placed in the jawbone. After the implant integrated, a custom crown was secured, restoring both function and aesthetics.