Smile Gallery
At Markham Street Dental, we love helping patients achieve their smile and oral health goals. See some of the smile transformations made possible by Dr Nyepetsi and his dental team.


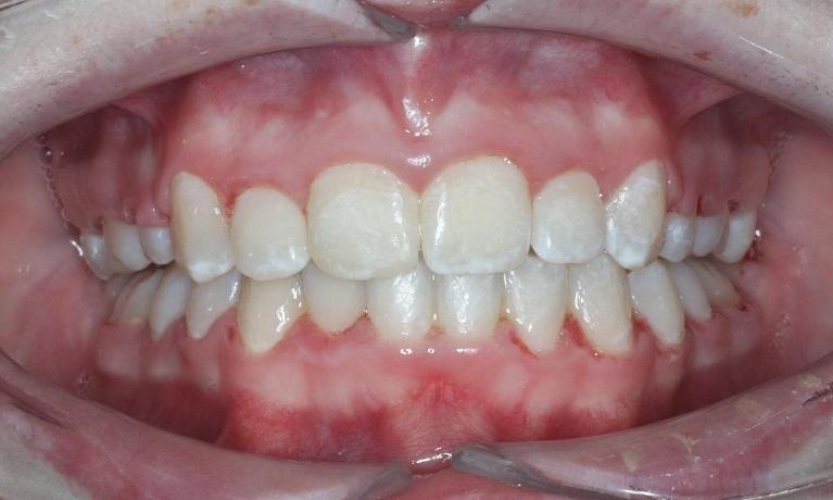
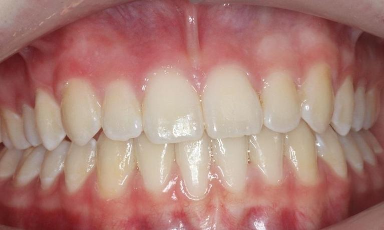
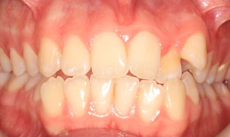
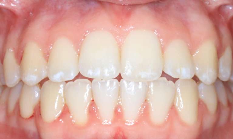
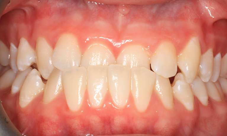
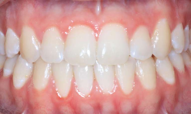
Our patient was 17 year old female who visited our dental clinic because she was unhappy with the appearance of her front teeth due to significant crowding and protrusion.
The treatment involved the use of traditional fixed braces in combination with the extraction of two teeth in her top jaw. This was done to create space for alignment and retraction of her top front teeth which led to a pleasing outcome and a favorable bite. A 19-month treatment period.


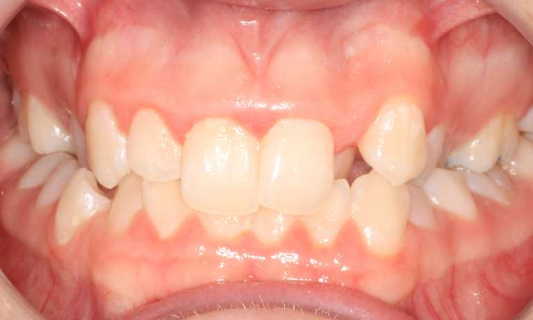
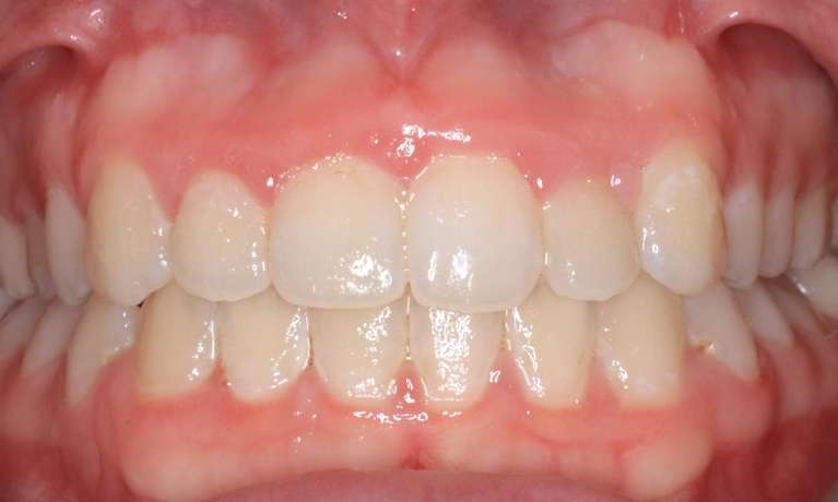
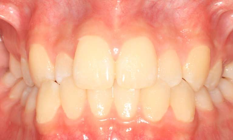
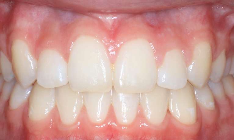
A 13 year old female who was unhappy with the appearance of her front teeth as they were crooked and caused a misalignment of her deep bite. At Markham Street Dental, traditional braces were used to align the teeth and correct her deep bite. This dental treatment took about 12 months from start to finish and the dental patient was thrilled with the results.


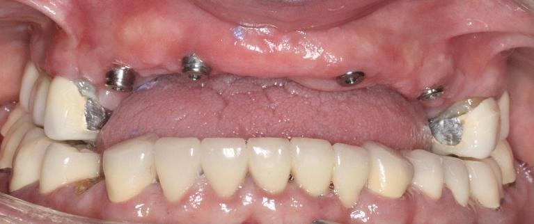
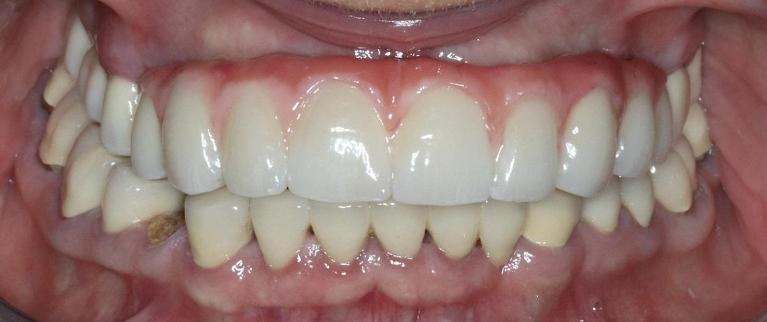
This dental patient arrived at Markham Street Dental with a dental bridge that failed as a result of tooth decay. The dental bridge had replaced 5 of her teeth and was supported by four others.
Treatment involved an extraction of 4 teeth that were decayed. This client opted for dental implants in Armidale, NSW as opposed to a denture. Four implants were placed to support the bridge containing nine teeth. The bridge was then anchored to the dental implants through screws. This treatment took six months from start to finish.


Our patient attended our dental clinic with sensitive teeth due to decay and failed white fillings. She desired to have better-looking front teeth with improved colour.
After thorough consultation, investigations and discussion of our treatment options, she opted for Take-home whitening and porcelain veneers in Armidale. Her treatment included a professional clean, removal of decay, take-home whitening and finally construction of 4 veneers. The dental treatment time took about 2 months.


Our patient attended our dental clinic with a very loose front tooth due to bone dissolving around it from gum disease. The patient indicated that she desired a fixed solution to replace the very loose tooth.
The gum disease was treated, and stabilised, loose tooth extracted, and site grafted to regenerate lost bone to permit implant placement. A dental implant in Armidale was placed 6 months after extraction and a front tooth secured to dental implant after 3 months. The total treatment time was 9 months.


A dental patient had root canal therapy and a dental crown on a first molar which lasted for many years. This developed an infection and abscess that resulted in bone defect within the jaw. After considering and discussing several different options with the patient, it was decided to extract the molar and graft the bone defect. A dental implant was placed 4 months after extraction and grafting. 3 months after dental implant placement, a molar was secured to the implant. This dental treatment took about 7 months when all was completed.


An elderly patient had a dental bridge replacing a missing front tooth for many years. The dental bridge failed as the anchor tooth snapped at gum line resulting in two missing teeth. Two options were discussed i.e. removable denture (plate) or implant-supported teeth.
The patient decided to go with implant-supported teeth. The snapped tooth was removed at the same time placing two dental implants. Three months following dental implant placement, two front teeth were secured individually to dental implants in Armidale, NSW. The total treatment time was 3 months.


This dental patient arrived at our dental clinic unhappy with their smile. This patient wanted to whiten and enhance the colour of their teeth in Armidale, NSW. Their treatment included the making of whitening trays and issuing bleaching gels. Our patient wore the whitening trays once a day for 30 minutes for a week. Teeth whitening in Armidale can be done for longer than 1 week if the desire is to have whiter and brighter teeth. Take-home whitening allows one to do touch up treatments if needed.


This young patient visited us with the desire to address the crowding in their upper or lower front teeth. The treatment involved fixed braces, leaving the patient with a straighter smile.


This young patient was experiencing crowding, a crossbite, and a deep bite which were corrected using fixed braces, gradually aligning the teeth and improving the bite for a more balanced smile.


This young patient wanted to address their underbite and dental crowding, which was done by using fixed braces.


This patient had crowding and crossbites, which were treated and corrected using fixed braces. The treatment aligned the teeth and resolved the bite issues, resulting in a more functional and aesthetic smile.


This patient presented with chipping, wearing, and yellowish discolouration of the teeth. Cosmetic enhancement was achieved through a combination of teeth whitening and ceramic veneers, resulting in a brighter smile.


This patient presented with uneven upper front teeth, gaps, and yellowish discolouration. Cosmetic improvement was achieved using take-home teeth whitening and ceramic veneers, resulting in a more balanced, brighter, and aesthetically pleasing smile.


The patient presented with a missing upper left lateral incisor, a peg-shaped lateral incisor, and an over-retained baby canine. The goal was cosmetic improvement which was achieved by extracting the baby canine and using braces to move the adult canine into its correct position, while creating space for the missing lateral incisor. Once orthodontic treatment was completed, tooth colour was brightened with teeth whitening. The peg lateral incisor was reshaped to look like a normal tooth, and the missing tooth was replaced with a bonded bridge.


The patient presented with a fractured front tooth that had undergone failed root canal therapy and crown restoration. The damaged root was extracted, and a dental implant was placed in the jawbone. After the implant integrated, a custom crown was secured, restoring both function and aesthetics.